Protesi monocompartimentale del ginocchio

Indice

Scopri di cosa si tratta, come è fatta e per chi è indicata una protesi di ginocchio monocompartimentale

Chi arriva in ambulatorio racconta spesso una storia simile: dolore del ginocchio, difficoltà nei primi passi, fastidio durante le scale, limitazione nelle attività che prima davano soddisfazione. Molti pazienti temono una protesi totale, pensando a un intervento fortemente invasivo. 

Esiste però un’opzione pensata proprio per situazioni selezionate, dove l’usura coinvolge solo uno dei compartimenti del ginocchio: la protesi monocompartimentale.

Come chirurgo ortopedico, accompagno spesso persone che desiderano tornare a camminare bene, lavorare, muoversi con sicurezza. La scelta del tipo di protesi parte sempre dall’ascolto, dalla valutazione clinica e dall’analisi approfondita dei riscontri diagnostici.

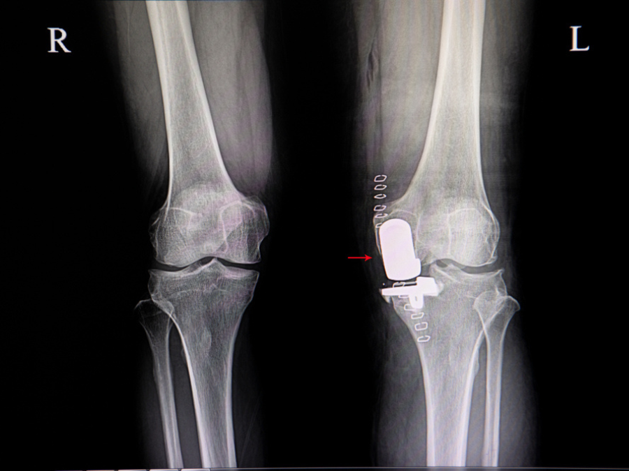
Cos’è la protesi monocompartimentale del ginocchio

La protesi monocompartimentale, chiamata anche unicompartimentale o parziale, interviene su una porzione specifica del ginocchio. L’articolazione presenta tre comparti distinti: mediale, laterale e femoro-rotuleo. In molte persone l’artrosi interessa un solo compartimento , spesso il mediale.

In queste situazioni la chirurgia può concentrarsi esclusivamente sulla parte usurata, lasciando integri i comparti sani, i legamenti crociati e gran parte dell’osso naturale. Il risultato punta a preservare la biomeccanica fisiologica del ginocchio, favorendo una sensazione di movimento più vicina a quella originale.

Quando l’indicazione risulta corretta, la protesi monocompartimentale offre risultati funzionali molto soddisfacenti.

A chi si rivolge questo intervento

Le protesi monocompartimentali trovano indicazione in persone con artrosi, dolore localizzato e stabilità legamentosa conservata, pazienti attivi, con età compresa tra i cinquanta e i sessantacinque anni, desiderosi di mantenere uno stile di vita dinamico.

Durante la visita valuto mobilità, asse dell’arto, qualità dei legamenti e distribuzione del carico. Le immagini radiografiche e la risonanza magnetica permettono di comprendere l’estensione dell’usura e guidano la scelta terapeutica.

Situazioni cliniche favorevoli

  • artrosi confinata a un comparto del ginocchio
  • dolore localizzato con buona stabilità articolare
  • desiderio di recupero funzionale rapido
  • integrità dei legamenti crociati

Una valutazione personalizzata consente di offrire al paziente la soluzione più adatta al proprio ginocchio.

Quando è indicata una protesi parziale di ginocchio?

Com’è fatta una protesi monocompartimentale

La protesi monocompartimentale è composta da componenti realizzati con materiali che  garantiscono resistenza, scorrevolezza e integrazione con l’osso.

Il sistema comprende:

  • una componente femorale in lega metallica (cromo-cobalto o titanio)
  • una base metallica posizionata sulla parte superiore della tibia
  • un inserto in polietilene.

La componente femorale sostituisce la parte usurata del condilo, mentre la componente tibiale offre una superficie stabile  su cui si ancora un inserto in polietilene ad alta resistenza. Al di sopra di esso scorre la componente femorale della protesi.

In casi selezionati la fissazione avviene senza cemento, favorendo l’osteointegrazione.

Le dimensioni vengono scelte per adattarsi a morfologia e struttura ossea di ogni paziente. La tecnologia moderna permette una personalizzazione elevata, riducendo lo stress meccanico e favorendo una distribuzione armoniosa dei carichi.

Quanto dura una protesi monocompartimentale?

Cosa cambia rispetto a una protesi totale

La risposta riguarda estensione dell’intervento, tempi di recupero e percezione del movimento:

  • intervento meno invasivo rispetto alla protesi totale con minor impatto sui tessuti
  • conservazione di legamenti e comparti sani
  • recupero funzionale più rapido (ritorno alle attività quotidiane leggere: 2–4 settimane)
  • sensazione di un’articolazione più naturale.

Il minor trauma chirurgico riduce sanguinamento e dolore post-operatorio, con un uso più contenuto di analgesici. I tassi di complicanze risultano bassi.

Recupero e ritorno alla vita quotidiana

Dopo l’intervento il paziente inizia a camminare in tempi brevi, spesso già nelle prime ore. La degenza risulta contenuta e il percorso riabilitativo punta a recuperare movimento, forza e sicurezza.

Nel corso delle settimane successive molte persone tornano a guidare, lavorare e svolgere le attività quotidiane con crescente autonomia. Il ginocchio rimane naturale e viene percepito come stabile e affidabile nei movimenti di tutti i giorni.

Conclusioni

La protesi monocompartimentale richiede una scelta condivisa, basata su dati clinici, immagini diagnostiche e aspettative personali. Come chirurgo, considero essenziale spiegare limiti, benefici e obiettivi realistici, creando un percorso costruito insieme.

Quando il ginocchio presenta un problema limitato a una specifica area, intervenire in modo mirato permette di trattare solo la parte interessata, preservando il resto dell’articolazione e mantenendo un movimento naturale. Se il tuo dolore è localizzato e limita attività che per te contano, una valutazione specialistica può chiarire se la protesi monocompartimentale del ginocchio risponde alle tue esigenze.

Sezione FAQs

  1. Che cos’è una protesi monocompartimentale di ginocchio?

Una protesi monocompartimentale di ginocchio è un dispositivo medico che sostituisce una parte specifica dell’articolazione colpita da artrosi. L’intervento agisce su un compartimento preciso del ginocchio e mantiene le strutture sane.

  1. Com’è fatta una protesi monocompartimentale?

La protesi monocompartimentale comprende componenti metallici ad alta resistenza e un inserto in polietilene ad alta densità. I materiali favoriscono scorrimento fluido e stabilità articolare. Allo stesso tempo il design anatomico segue la forma del ginocchio e sostiene un carico equilibrato durante cammino, salita delle scale e attività giornaliere.

  1. Come si vive con una protesi monocompartimentale?

La vita con una protesi monocompartimentale offre comfort, sicurezza e libertà di movimento. Le persone camminano con passo naturale e gestiscono le attività quotidiane con facilità. 

  1. Posso fare sport dopo un intervento di protesi monocompartimentale?

Dopo l’intervento molte persone praticano sport a basso e medio impatto. Attività come camminata, ciclismo, nuoto e golf favoriscono forza muscolare e resistenza.

  1. Quali sono le alternative alla protesi di ginocchio?

Le alternative alla protesi di ginocchio includono trattamenti conservativi e procedure chirurgiche mirate. Fisioterapia personalizzata, infiltrazioni articolari e osteotomie correttive migliorano la funzione articolare.

Hai altre domande? Controlla qui!

Condividi su

Facebook
LinkedIn